危急!百岁老人突发心梗,茂医30分钟全力救治为他撑开“生命通道”
2023-11-02 09:21
急性心梗有多凶险?
一旦发作,“夺人性命”可能就是一瞬间的事。对于一些高龄患者来说,合并症多、多脏器功能衰竭等因素还会使救治难度和风险上升不少......
就在不久前,103岁的李爷爷就因凶险的急性心梗一度生命垂危。在危急关头,茂名市人民医院心血管内科二区团队反应迅速,凭借着丰富的手术经验以及默契的团队配合,突破了血管介入手术的“高龄难区”,成功地为李爷爷开通了病变血管,李爷爷转危为安。
百岁老人突发心梗、拖延多个小时才送医,情况危急
这天晚上大约十点,李爷爷突然感到胸腔心前区传来一阵阵疼痛,不一会儿他便感到全身大汗淋漓,休息后仍然不能缓解。直到第二天上午,李爷爷的胸痛持续仍在持续发作、丝毫没有停止的迹象,家人这才赶忙将李爷爷送到当地卫生院就医,后因病情危重转到茂名市人民医院急诊医治。
22:23,医院胸痛中心绿色通道第一时间为李爷爷打开,完善了初步检查并召集心血管内科二区副主任黎国德参加会诊。检查结果显示为“急性下壁心肌梗死”,此时,李爷爷发病已经超了24小时,情况十分危急,随时有可能出现心脏骤停、心室颤动、急性左心衰竭等急性心肌梗死并发症,李爷爷面临着死亡的威胁。
此种情况,唯一能救命的是必须尽快进行急诊冠脉介入治疗术。
但超百岁老人做冠脉介入手术已属罕见,罹患急性心肌梗死要做急诊冠脉介入手术的更加罕见,心内科自成立以来还尚无超百岁老人行急诊冠脉介入手术的先例。老人身体各项机能均明显衰退,既往的疾病史、体质、目前的状态、生命体征等细节都有可能直接影响到手术的成败。

时间就是生命!正确治疗决策,团队紧急“救心”成功
情况危急,黎国德详细询问了患者的各方面情况以及目前患者的生命体征,结合病情立刻指示给予心梗一包药:阿司匹林300mg、替格瑞洛180mg、瑞舒伐他汀钙20mg顿服。同时向李爷爷的家属告知患者病情、手术风险与治疗策略。在详细了解了目前疾病的风险及治疗方案后,表示愿意相信手术团队,一定要为李爷爷征得一线生机,希望团队能尽快进行急诊手术。
家属愿意相信手术团队、争取治疗机会,手术团队愿意全力一搏,一场与死神的角逐就此拉开序幕!
23:15,入院不到半小时,李爷爷的急诊冠脉介入手术已经完成所有术前准备,正式开始手术。
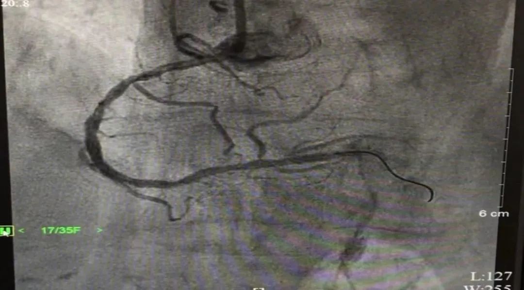
术中,冠状动脉造影提示李爷爷冠状动脉病变严重:左前降支近段,左旋支近段、中段以及局部,右冠脉近段、中段三支血管均出现了程度不一的病变,狭窄程度最高达90%。其中,右冠脉弥漫性粥样斑块形成,后降支近段次全闭塞。
当务之急是开通罪犯血管,挽救心肌细胞,保护心功能。对比心电图及造影结果,介入团队进行快速研究后,立即着手处理罪犯血管--右冠脉。黎国德与心血管内科二区陈明主治医师配合默契,仅用29分钟便在后降支近段及右冠脉中段各植入冠状动脉支架1枚。

▲术前造影图像

▲术后造影图像:右冠脉中段及后降支狭窄消失,供血明显改善
手术成功!
术后,李爷爷的痛症状迅速缓解,复查心电图提示原来抬高的ST段逐渐回落。经过后续一周的精心治疗,李爷爷身体恢复良好,心肌酶、BNP等相关指标均恢复到正常范畴。
“谢谢你们!你们的救助给了我第二次生命。”出院之际,李爷爷感动、颤抖着握住医护人员的手久久不放。
“他康复得很快,甚至有些超出我们预期,”黎国德说,“这与李爷爷的信任及其家属的全力支持是分不开的,‘双向奔赴’就是我们前进的动力。”
此文转载自2023年11月1日,茂名市人民医院微信公众号服务号
