警惕!青少年频发鼻出血,幕后元凶竟可能是……
2024-07-03 08:39全栏目管理员
各位家长注意了,
如果家里有10-25岁青年男性,
长期鼻塞、反复出现鼻腔出血或嗅觉下降,
可不要大意!
小心鼻咽纤维血管瘤作祟!
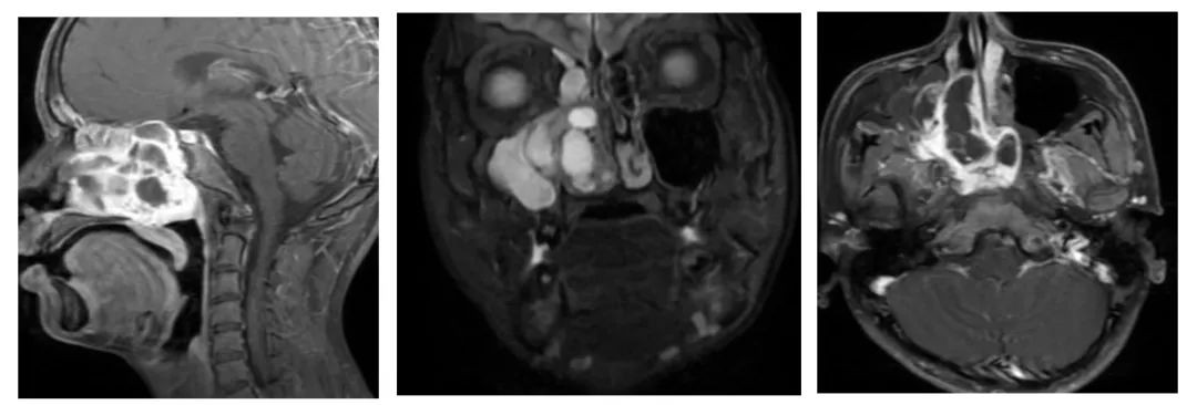
近日,一名16岁的青年因反复鼻出血1年,伴鼻塞、嗅觉下降,严重影响睡眠及学习,便来到了茂名市人民医院耳鼻喉科进行就诊,医院耳鼻喉科副主任吴新权接诊后为小李完善鼻内镜、鼻窦CT及MRT检查,确诊为鼻颅底巨大鼻咽纤维血管瘤。

小李的检查报告提示右侧鼻腔、鼻咽腔、双侧筛窦、蝶窦区见不规则形异常信号影,并且肿物突破鼻腔、鼻窦向周围侵犯翼腭窝、颞下窝、中颅底及眼眶等重要复杂解剖区域,增强CT扫描提示CT值为140,约为正常值的4倍,提示肿瘤的血供丰富,如果不手术治疗会有大出血的风险。为此吴新权主任医师团队组织了由耳鼻喉科、肿瘤科、麻醉科、CT科及磁共振科专家参加的多学科会诊(MDT)。专家们详细研判病情,制定了完善的手术方案,确定了术中、术后各种意外风险的应对预案。
在征得家属同意后,耳鼻喉科副主任吴新权手术团队在麻醉科帮助下成功在内镜下经鼻及上颌窦前壁双径路进行手术。由于肿瘤巨大及血供丰富,为手术带来了难度,但手术团队凭借丰富的手术经验,依据术前制定的手术方案,最终团队连续奋战6小时把肿瘤完整切除,而且患者术中出血量控制在正常手术范围内,为小李的术后恢复提供了良好保障。术后耳鼻喉科护理团队对患者进行了全面的护理和观察,小李平稳度过了康复期。复查磁共振提示肿瘤完整切除,目前已顺利康复出院。
据医院耳鼻咽喉科副主任吴新权介绍,鼻咽纤维血管瘤为鼻咽部最常见的良性肿瘤,常发生于10-25岁青年男性,故又名为“男性青春期出血性鼻咽血管纤维瘤”。该肿瘤内分布大量管壁薄且无收缩能力的血管,这种血管受损后极易出血。患者临床表现一般有反复鼻出血甚至口腔出血,常伴鼻塞、流涕、闭塞性鼻音、嗅觉减退、外鼻畸形等,瘤体逐渐长大可引起邻近器官受压及功能障碍,可出现耳鸣、听力下降、眼球突出、视力下降、头痛等症状。反复鼻出血可引起贫血,严重者可导致失血性休克甚至生命危险。吴新权表示,一旦出现以上这种症状,应当重视,及时到医院检查。
此文转载自2024年7月2日,茂名市人民医院微信公众号服务号
