哎哟,这枚五毛钱的硬币!
2021-04-22 10:20
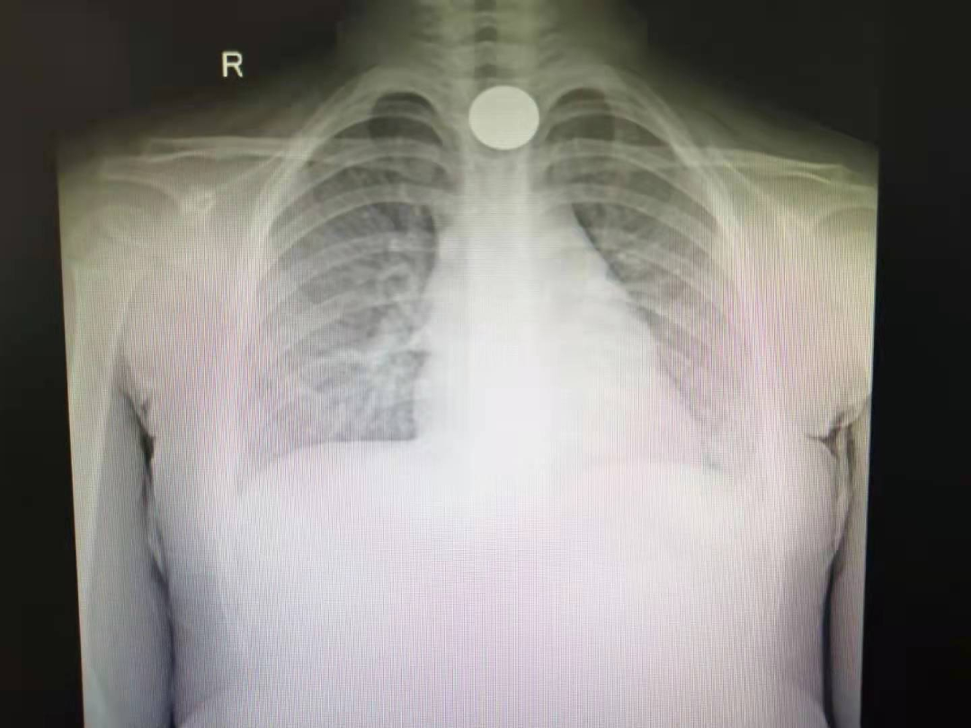
焦急!3岁儿童误吞硬币卡在食管入口处

近日,家住茂名市区的三岁小女儿琳琳(化名)在玩耍时不慎将一枚5角的硬币误吞入口中,当家长发现并送到茂名市人民医院耳鼻喉科时,距离异物吞入已经接近13个小时。耳鼻喉科专家紧急会诊并确定治疗方案,完善相关术前检查并征得家长同意后,采用插管全麻下行食管镜检查+异物取出术,短短仅5分多钟便将硬币顺利取出,让孩子转危为安。这枚5角硬币,着实让小琳琳家人捏了几把汗。

据了解,患儿进食时不慎误吞硬币,即觉吞咽疼痛,强行吞咽无好转,有吞咽困难,被父母察觉后送到医院救治。茂名市人民医院耳鼻喉科专家提醒,家长要做好孩子的监护工作,一旦出现异物误吞的情况要及时到医院进行救治。
茂名市人民医院耳鼻喉科专家介绍
近年来因误吞异物导致要手术取出的案例频繁出现,尤其是婴幼儿。小儿咽喉部保护性反射不完善,吞咽功能发育不完全,喜欢将物品含在口中玩耍误吞而造成食管异物。常见的异物有硬币、纽扣、微型的电池、别针、塑料盖、骨片、坚果和各种枣核等等。临床表现为哽咽、疼痛、流延、吞咽困难和呕吐,如果异物较大,可以压迫气管导致咳嗽、呼吸困难、喘鸣甚至窒息等等严重的表现,并发症有食管炎、食管气管瘘、食管穿孔等。
误吞是儿童最常见的意外伤害之一,家长们平时要将家里容易被误吞的物品收好,尽可能放在孩子不容易找到的地方 。孩子大一点的,可教他们识别各种危险物品,告诉他们哪些不能吃。一旦发现孩子吞服异物,需立即送至医院检查,及时治疗,将危险降到最低。(撰稿:钟钧宇)
