百岁老人告别腰痛,医生:早诊早治是关键!
2025-07-01 11:54全栏目管理员
近日,茂名市人民医院脊柱外科一区梁晓团队成功为一名101岁高龄患者成功实施了微创“经皮椎骨骨水泥成形术”,患者术后疼痛症状显著减轻,目前已康复出院。
这天,101岁的陈奶奶(化名)在家人的搀扶下来到茂名市人民医院脊柱外一区诊室。“近一周来腰背部剧痛难忍,翻身和坐起都异常痛苦。她冠心病、高血压病史,长期服药控制。”家人向接诊医师描述病情,担心不已。

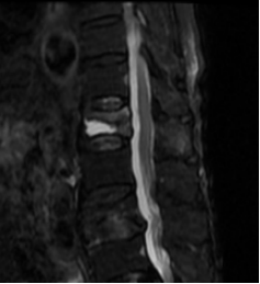
▲磁共振提示胸12骨折

▲骨密度提示重度骨质疏松
经过诊断与检查完善,确定困扰陈奶奶的是“骨质疏松性椎体骨折”,陈奶奶及家属治疗意愿明确。骨质疏松性骨折问题在高龄老年人群中不罕见,但陈奶奶的骨折已明显超过一周,医护团队要面对百岁老人脆弱的心血管系统和骨折修复带来的风险。
脊柱外科一区主任梁晓非常重视,带领团队立刻投入紧张的治疗方案制定。针对陈奶奶的高血压状况,制定了严格的术中血压管理预案,确保手术在可控的生理参数下进行。
同时,团队反复研究MRI图像和AI生成的三维椎体模型,精确测算出塌陷椎体所需“骨水泥”的理想体积——4.5ml。“这个数字绝非随意,注入过少无法有效支撑,注入过多则可能渗漏压迫神经或造成栓塞。”梁晓解释。
术中,主刀医生以“毫米级”精度,将3毫米穿刺针轻柔而准确地置入T12椎体的预定位置,随后将仔细调和的骨水泥(温热、利于注射且不易渗漏的最佳粘稠度)在X光严密监控下,通过穿刺针被极其缓慢、均匀地注入骨折椎体。注入后,团队立刻根据影像反馈和术前规划,精准控制着注入的每一滴水泥,最终注入量锁定在4.5ml。

▲术后CT显示:骨水泥完美填充,椎体高度部分恢复,力学重建成功
速凝水泥在椎体内迅速弥散,完美填充骨小梁间隙,约15分钟凝固成型,瞬间为脆弱的椎体注入了坚固的“内核支撑”,手术顺利结束。“手术过后感觉腰立刻就没那么痛了!”术后两小时,陈奶奶已可以佩戴腰围进行活动,恢复情况良好,不久后顺利出院。
梁晓提醒老年人群以及有高龄长辈的家庭,老年脊柱骨折存在三大认知误区需警惕。超过70%的骨折并非由摔倒引起,咳嗽、翻身等日常动作便可能压垮疏松的椎体;“躺躺就好”风险极大,保守卧床会导致肌肉每日萎缩1%-3%,极易造成永久性功能丧失;高龄并非手术禁区,现代微创技术可安全为老年患者重建椎体。
骨折后48小时是黄金救治窗,及时微创干预可将1年生存率提高62%;延误超过2周,严重功能障碍风险激增4倍。如老人突发不明原因剧痛,应尽快就医,早诊早治是守护脊柱健康与生命质量的关键!
